Τραύμα Θωρακικού Τοιχώματος

Τραύμα Θωρακικού Τοιχώματος

Τι είναι το τραύμα θωρακικού τοιχώματος ;

Το τραύμα θωρακικού τοιχώματος αποτελεί μια κατηγορία κακώσεων που προκύπτουν συνήθως μετά από τραυματισμό, όπως τροχαία ατυχήματα, πτώσεις ή αθλητικές κακώσεις. Οι κακώσεις αυτές μπορεί να αφορούν τα πλευρά, το στέρνο, τους μεσοπλεύριους μύες και τους μαλακούς ιστούς του θώρακα, επηρεάζοντας άμεσα τη μηχανική της αναπνοής. Η κλινική εικόνα ποικίλλει, από ήπιο πόνο έως σοβαρές καταστάσεις με αναπνευστική δυσχέρεια και επιπλοκές. Σε αρκετές περιπτώσεις, ο πόνος και ο περιορισμός της κινητικότητας οδηγούν σε ανεπαρκή αερισμό των πνευμόνων, αυξάνοντας τον κίνδυνο λοιμώξεων. Η σωστή αξιολόγηση του τραύματος, η κατανόηση της βαρύτητάς του και η έγκαιρη θεραπευτική παρέμβαση είναι καθοριστικής σημασίας για την ανάρρωση και την αποφυγή χρόνιων προβλημάτων.

 

Τραύμα θωρακικού τοιχώματος: Διάγνωση

Η διάγνωση του τραύματος θωρακικού τοιχώματος βασίζεται στη συνδυαστική αξιολόγηση του κλινικού ιστορικού, της φυσικής εξέτασης και των απεικονιστικών ευρημάτων. Αρχικά, ο ιατρός εκτιμά:

  • τον μηχανισμό του τραυματισμού
  • την ένταση του πόνου
  • την αναπνευστική λειτουργία
  • την παρουσία ευαισθησίας ή αστάθειας στο θωρακικό τοίχωμα

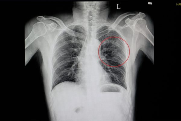
Η απλή ακτινογραφία θώρακος αποτελεί συνήθως την πρώτη απεικονιστική εξέταση, ωστόσο σε πολλές περιπτώσεις δεν επαρκεί για την πλήρη εκτίμηση των κακώσεων. Η αξονική τομογραφία θώρακος θεωρείται εξέταση αναφοράς, καθώς προσφέρει λεπτομερή απεικόνιση των καταγμάτων πλευρών ή στέρνου. Επίσης, επιτρέπει την εκτίμηση τυχόν μετατόπισης και τον έγκαιρο εντοπισμό συνοδών επιπλοκών. Η σωστή και έγκαιρη διάγνωση είναι καθοριστική για την επιλογή της κατάλληλης θεραπευτικής στρατηγικής και τη μείωση του κινδύνου επιπλοκών.

 

Τραύμα θωρακικού τοιχώματος: Ανάρρωση

Μετά από ένα ατύχημα που συνοδεύεται από κατάγματα πλευρών ή στέρνου, ο πόνος είναι συνήθως έντονος και μπορεί να επιμείνει για μεγάλο χρονικό διάστημα. Τα κατάγματα παίρνουν εβδομάδες μέχρι να ‘κολλήσουν’ ξανά , ενώ η περίοδος αυτή διαρκεί μέχρι και 3 μήνες ειδικά σε μεγαλύτερες ηλικίες που το οστό γίνεται πιο ευαίσθητο και χάνει την δυνατότητα να επουλωθεί γρήγορα.

Κατά το διάστημα αυτό θα πρέπει να αποφεύγεται:

  • η υπερβολική ή έντονη άσκηση
  • η πίεση στην περιοχή των σπασμένων πλευρών ή του στέρνου
  • οι εργασίες που απαιτούν άρση μεγάλων βαρών
  • η έντονη χειρωνακτική δραστηριότητα

Κατά την περίοδο της ανάρρωσης, η παρουσία πόνου είναι συχνή και αναμενόμενη. Για τον λόγο αυτό, είναι σημαντική η τακτική λήψη των παυσίπονων που έχει συστήσει ο ιατρός, ακόμη και όταν ο πόνος δεν είναι ιδιαίτερα έντονος. Επίσης, η σωστή αναλγησία είναι καθοριστική, καθώς συμβάλλει στη διατήρηση της ελεύθερης αναπνοής και διευκολύνει την ασφαλή κινητοποίηση του ασθενούς στο σπίτι. Τέλος, υπάρχουν καταστάσεις που μπορεί να προκύψουν κατά την περίοδο της ανάρρωσης και θα πρέπει υπάρχει άμεση επικοινωνία με το γιατρό κάποιες από αυτές είναι:  

  • αιφνίδια δύσπνοια
  • νέος ή έντονος πόνος
  • αίσθημα αστάθειας στο θώρακα
  • υψηλός πυρετός
  • βήχας με αυξημένα πτύελα

Πρόσθετες οδηγίες μετά το εξιτήριο

Η περίοδος μετά το εξιτήριο αποτελεί ένα σημαντικό στάδιο της ανάρρωσης και συχνά συνοδεύεται από ερωτήματα και ανησυχίες για την πορεία των συμπτωμάτων. Είναι σημαντικό ο ασθενής να γνωρίζει τι θεωρείται φυσιολογικό, ώστε να νιώθει ασφάλεια και να ακολουθεί σωστά τις ιατρικές οδηγίες.

Σταδιακά, καθώς περνούν οι ημέρες, αναμένεται προοδευτική βελτίωση της έντασης των ενοχλημάτων. Εάν υπάρχουν εκχυμώσεις (μελανιές) από τα χτυπήματα, αυτές συνήθως υποχωρούν με τον χρόνο. Χαρακτηριστικά, στην αρχή εμφανίζονται με μπλε ή σκούρο κόκκινο χρώμα, στη συνέχεια γίνονται πρασινωπές και τέλος αποκτούν ανοικτό κίτρινο χρώμα μέχρι να εξαφανιστούν πλήρως.

Η συνολική πορεία θα πρέπει να χαρακτηρίζεται από σταδιακή υποχώρηση του πόνου και προοδευτική βελτίωση της κινητικότητας. Σε περίπτωση που τα συμπτώματα δεν ακολουθούν αυτή την πορεία ή επιδεινώνονται, είναι σημαντικό να υπάρξει έγκαιρη επικοινωνία με τον θεράποντα ιατρό.

Θεραπευτική αντιμετώπιση

Τα σπασμένα πλευρά δεν αντιμετωπίζονται πάντα μόνο συντηρητικά. Σύμφωνα με διεθνείς κατευθυντήριες οδηγίες, ο ειδικός Θωρακοχειρουργός είναι εκείνος που αξιολογεί κάθε περιστατικό και προτείνει την κατάλληλη θεραπεία. Σε γενικές γραμμές, όταν:

  • ο πόνος είναι ιδιαίτερα έντονος και επιμένει
  • όταν υπάρχουν πολλαπλά κατάγματα
  • όταν διαπιστώνεται μετατόπιση των πλευρών

ενδείκνυται η χειρουργική σταθεροποίηση με ειδικές λάμες και βίδες.

 Η χειρουργική αντιμετώπιση μπορεί να προσφέρει ταχύτερη συγκόλληση των καταγμάτων και να διατηρήσει το φυσιολογικό σχήμα και τον όγκο του θώρακα,. Παράλληλα, συμβάλλει στην αποφυγή κακής συγκόλλησης, η οποία μπορεί να οδηγήσει σε χρόνιο πόνο και αυξημένο κίνδυνο ανάπτυξης αρθρίτιδας σε μεγαλύτερη ηλικία.

 

Παραδείγματα κλινικών περιστατικών

Παράδειγμα 1ο Ασθενής με οπίσθια κατάγματα πλευρών. Αντιμετωπίστηκαν συντηρητικά με πλήρη συγκόλληση σε 3 μήνες. Τα βέλη δείχνουν τα σημεία των καταγμάτων

Παράδειγμα 2ο Ασθενής με πλάγια πολλαπλά κατάγματα δεξιών πλευρών. Εδώ ήταν λάθος η συντηρητική αντιμετώπιση με αποτέλεσμα 2 από αυτά να μην ‘κολλήσουν’, προκαλώντας χρόνιο έντονο πόνο. Ο ασθενής υπεβλήθη σε χειρουργική επέμβαση.

Παράδειγμα 3ο  Ασθενής με πρόσθια αριστερά κατάγματα πλευρών που δυστυχώς αντιμετωπίστηκαν συντηρητικά. Είχε πόνο για 18 μήνες και επιπρόσθετα κατέληξε με κήλη πνεύμονα στο κενό ανάμεσα στα πλευρά. Αντιμετωπίστηκε με χειρουργική επέμβαση και τοποθέτηση μοσχεύματος και λάμες με βίδες.

Το κίτρινο βέλος δείχνει το μεγάλο κενό ανάμεσα στις πλευρές
Το μαύρο βέλος δείχνει ότι το κενό έχει κλείσει και βλέπουμε και τις δύο λάμες στις πλευρές

 

Το τραύμα θωρακικού τοιχώματος απαιτεί σωστή εκτίμηση και προσεκτική παρακολούθηση. Η έγκαιρη διάγνωση και η κατανόηση της βαρύτητας της κάκωσης είναι καθοριστικές για την αποφυγή επιπλοκών και χρόνιων προβλημάτων, καθώς  σε πολλές περιπτώσεις η συντηρητική αγωγή είναι επαρκής. Ωστόσο, σε ορισμένες καταστάσεις η χειρουργική παρέμβαση προσφέρει ουσιαστικό όφελος και βελτιωμένη ποιότητα ζωής. Ο εξειδικευμένος Θωρακοχειρουργός έχει κεντρικό ρόλο σε όλα τα στάδια, από τη διάγνωση έως την αποκατάσταση, με στόχο την ασφαλή ανάρρωση και τη μακροχρόνια λειτουργική αποκατάσταση του ασθενούς.

Ο Κωνσταντίνος  Παπαγιαννόπουλος είναι Θωρακοχειρουργός με μακρόχρονη εμπειρία στη διάγνωση και τη χειρουργική αντιμετώπιση τραυμάτων του θωρακικού τοιχώματος. Παρέχει υπεύθυνη και εξατομικευμένη καθοδήγηση, με βάση τις σύγχρονες διεθνείς κατευθυντήριες οδηγίες και τις πλέον εξελιγμένες θεραπευτικές τεχνικές. Η προσέγγιση περιλαμβάνει ολοκληρωμένη αξιολόγηση και σαφές, στοχευμένο πλάνο αντιμετώπισης. Επικοινωνήστε μαζί μας για να προγραμματίσετε τον έλεγχό σας και να λάβετε έγκυρη, επιστημονικά τεκμηριωμένη ενημέρωση από εξειδικευμένο Θωρακοχειρουργό.

Papagianopoulos
Privacy Overview

This website uses cookies so that we can provide you with the best user experience possible. Cookie information is stored in your browser and performs functions such as recognising you when you return to our website and helping our team to understand which sections of the website you find most interesting and useful.