Ενδοσκοπήσεις

Η χρήση ειδικών εύκαμπτων και άκαμπτων βρογχοσκοπίων είναι σημαντικό όπλο για τον μοντέρνο θωρακοχειρουργό.

 

Οι ενδοσκοπήσεις χρειάζονται για την διάγνωση αλλά και θεραπεία παθήσεων του πνεύμονα και των αεραγωγών.

 

Ας δούμε ορισμένα παραδείγματα.

 

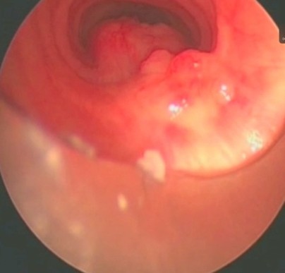
Περιστατικό 1.

 

Ασθενής 56 ετών με καρκίνο μαστού και δυστυχώς υποτροπή σε λεμφαδένες με πίεση και διήθηση της τραχείας. Σε αυτήν την περίπτωση η θεραπεία είναι παρηγορητική και αποσκοπεί στο να προσφέρει ποιότητα ζωής χωρίς να επιτυγχάνει ίαση του προβλήματος.

Η διάνοιξη διενεργήθηκε με ίνες laser.

 

Η πρώτη φωτογραφία δείχνει το σημείο των λεμφαδένων που έχουν περάσει στην τραχεία, η δεύτερη την εξαέρωση με laser και η τρίτη την ανοιχτή τραχεία αφού οι λεμφαδένες έχουν εξαερωθεί.

Περιστατικό 2

 

Ασθενής 73 ετών με προχωρημένο καρκίνο πνεύμονα και στένωση του αεραγωγού από όγκο. Στην περίπτωση αυτή η θεραπεία είναι παρηγορητική. Εδώ μας δόθηκε η δυνατότητα να τοποθετήσουμε ένα stent (σωλήνας μέσα στην τραχεία και τους βρόγχους που τους διατηρεί ανοιχτούς) για να μην υπάρχει πρόβλημα δύσπνοιας.

 

Στις παρακάτω φωτογραφίες βλέπουμε πρώτα την ακτινογραφία του ασθενούς πριν την τοποθέτηση του στεντ. Ο αριστερός πνεύμονας δεν παίρνει καθόλου αέρα και ο ασθενής έχει μεγάλου βαθμού δύσπνοια (κόκκινο βέλος). Στην δεξιά φωτογραφία ο αριστερός πνεύμονας έχει τώρα εκπτυχθεί χωρίς ο ασθενής να έχει δύσπνοια.

 

Papagianopoulos
Privacy Overview

This website uses cookies so that we can provide you with the best user experience possible. Cookie information is stored in your browser and performs functions such as recognising you when you return to our website and helping our team to understand which sections of the website you find most interesting and useful.